Костюк Игорь Петрович
онколог, бариатрический и реконструктивный хирург
доктор медицинских наук, профессор
Задать вопрос
+7 (921) 951-7-951
Задать вопрос
О враче
Бесплатное лечение по ОМС
Учителя и коллеги
Лечебные технологии
Хирургия ожирения
Онкохирургия
Хирургическая практика
Словарь терминов
Где я практикую
Онлайн-консультаци
Научные интересы
Рекомендации пациентам
Контакты
Главная
Новости сайта
Новость
ФОТО дня
Все новости
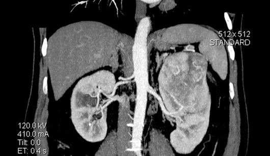
30.08.12
КТ картина
опухоли левой почки >>>
Поделиться ссылкой:
Главная
Новости сайта
Новость
Мы используем cookies
Посещая сайт www.kostyuk.ru, вы даете свое согласие на использование файлов cookie.
Это необходимо для нормального функционирования сайта и для соблюдения требований 152-ФЗ "О персональных данных"
ОК
Подробнее