GIST гиганстких размеров

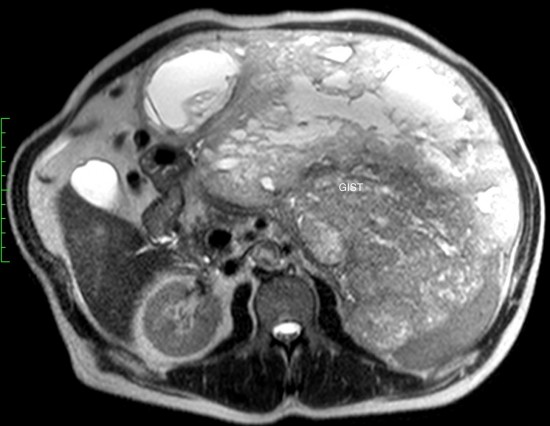
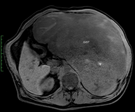
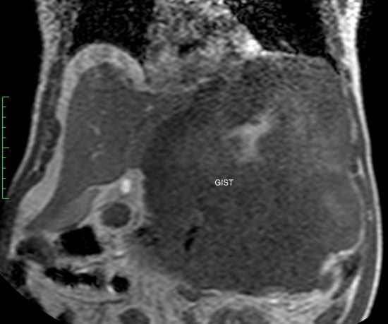
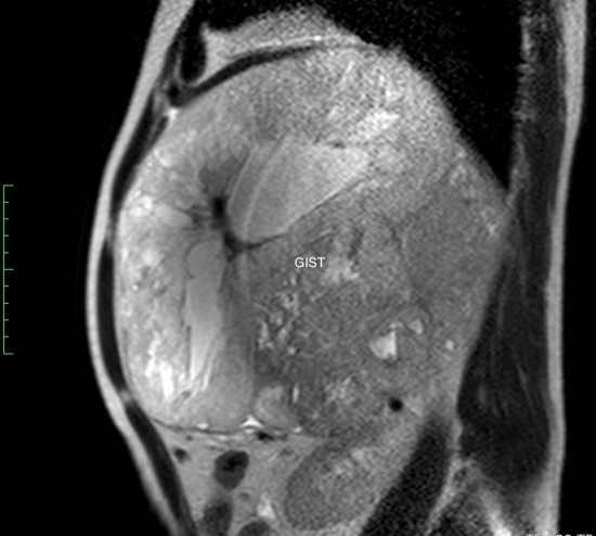
Гастроинтестинальная стромальная опухоль гигантских размеров, исходящая из большой кривизны желудка
Гастроинтестинальная стромальная опухоль гигантских размеров, исходящая из большой кривизны желудка

 

Гастроинтестинальная стромальная опухоль гигантских размеров, исходящая из большой кривизны желудка
Гастроинтестинальная стромальная опухоль гигантских размеров, исходящая из большой кривизны желудка

 

 

 

Пациент на операционном столе. Рубец после эксплоративной лапаротомии.
Пациент на операционном столе. Рубец после эксплоративной лапаротомии.

 

Обнаженная опухоль
Обнаженная опухоль

 

После удаления основного опухолевого очага. Второй очаг на тонкой кишке.
После удаления основного опухолевого очага. Второй очаг на тонкой кишке.

 

Операционная бригада.
Операционная бригада.

ЗАПИСЬ  НА  КОНСУЛЬТАЦИЮ по телефону +7 (921) 921 - 7 - 951

Поделиться ссылкой: