Опухоль правой почки, сдавливающая нижнюю полую вену

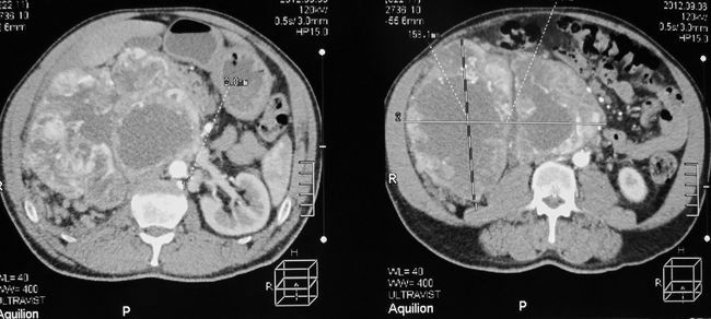
Опухоль правой почки (компьютерная томография)
Опухоль правой почки (компьютерная томография)
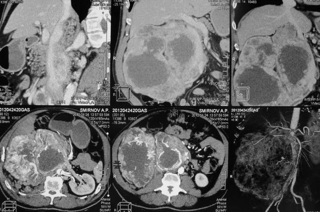
Опухоль правой почки (компьютерная томография с сосудистым контрастированием)
Опухоль правой почки (компьютерная томография с сосудистым контрастированием)
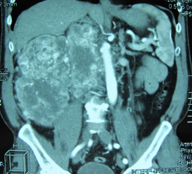
Опухоль правой почки (компьютерная томография)
Опухоль правой почки (компьютерная томография)
Опухоль правой почки (компьютерная томография с сосудистым контрастированием)
Опухоль правой почки (компьютерная томография с сосудистым контрастированием)
Опухоль правой почки (компьютерная томография)
Опухоль правой почки (компьютерная томография)
Мобилизация правой почки с опухолью
Мобилизация правой почки с опухолью
Мобилизация двенадцатиперстной кишки
Мобилизация двенадцатиперстной кишки
Ложе правой почки после удаления
Ложе правой почки после удаления
Удаленная почка с опухолью
Удаленная почка с опухолью

ЗАПИСЬ  НА  КОНСУЛЬТАЦИЮ по телефону +7 (921) 951 - 7 - 951

Поделиться ссылкой: