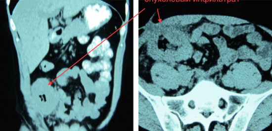
Рецидив рака слепой кишки

 

 

Рецидив рака слепой кишки
Рецидив рака слепой кишки

 

 

Рецидив рака слепой кишки
Рецидив рака слепой кишки

 

 

Рецидив рака слепой кишки
Рецидив рака слепой кишки

 

ЗАПИСЬ  НА  КОНСУЛЬТАЦИЮ по телефону +7 (921) 951 - 7 - 951

 

Отделение опухоли от наружных подвздошных сосудов и нижней полой вены
Отделение опухоли от наружных подвздошных сосудов и нижней полой вены

 

 

Ложе опухоли после ее удаления
Ложе опухоли после ее удаления

 

 

Тонкокишечная пластика резецированного сегмента мочеточника
Тонкокишечная пластика резецированного сегмента мочеточника

 

 

Пластика мышечно-апоневротичексого дефекта сеткой PROCEED
Пластика мышечно-апоневротичексого дефекта сеткой PROCEED

 

 

 

 

 

Поделиться ссылкой: