Первично множественный рак мочевого пузыря и почки

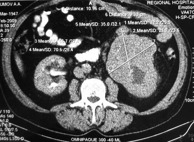
Опухоль левой почки
Опухоль левой почки

 

Опухоль мочевого пузыря
Опухоль мочевого пузыря

 

После удаления метастатически измененных лимфатических узлов
После удаления метастатически измененных лимфатических узлов

 

Моноблочно удаленные мочевой пузырь и левая почка, пораженные опухолью
Моноблочно удаленные мочевой пузырь и левая почка, пораженные опухолью

ЗАПИСЬ  НА  КОНСУЛЬТАЦИЮ  по телефону +7 (812) 951 - 7 - 951

Поделиться ссылкой: